Observation
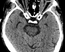
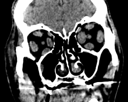
TDM sans injection en coupes axiale et coronale
Présence de gros muscles droits (médial, latéral, supérieur et inférieur) aux deux yeux. Exophtalmie œil droit grade 2, exophtalmie grade 1 pour l’œil gauche (suivant la ligne bicanthale externe). Hypertrophie de l’ensemble des muscles oculomoteurs compatibles avec une maladie de Basedow. Epaississement diffus des muscles oculomoteurs pré dominants sur le droit médial et inférieur
Photos
Œdème palpébral bilatéral avec signes d’inflammation orbitaire (score CAS pour Clinical Activity Score > 3 de l’EUGOGO, ici = 5/7) avec chémosis, hyperhémie caronculaire notamment. Présence d’une kératite ponctuée superficielle visible en lampe à fente portable avec test à la fluorescéine (d’où les traces oranges sur le pourtour des paupières), témoigne de la sévérité de l’atteinte.





Histoire de la maladie
Patient de 55 ans adressé pour bilan d’anémie avec « œdème du visage ». Grabataire, symptomatologie chronique, référé au CHU en urgence pour ce motif. Diagnostic clinique d’orbitopathie dysthyroïdienne, confirmé au scanner du fait des constatations. Un bilan en endocrinologie est effectué. L’état clinique est évocateur d’un hypopituitarisme confirmé par le bilan biologique avec insuffisance gonadotrope, corticotrope et somatotrope. Axe thyréotrope et échographie thyroïdienne sans anomalie. L’ECG a retrouvé un rythme irrégulier et non sinusal avec trouble de la repolarisation. Une supplémentation par hydrocortisone est débutée du fait de l’insuffisance corticotrope. Exploration anémie par FODG +/- coloscopie et prise en charge cardiologique pour le trouble du rythme. La maladie de Basedow n’est pas retenue pour le moment malgré une description clinique quasi-pathognomonique.
Antécédents : retard psychomoteur et épilepsie sur trauma crânien dans l’enfance
Traitements : bisoce, coversyl, depakine, eupantol, loxapac, movicol, risperdone, tardyferon, dafalgan, smecta
Ex ophtalmo
Motilité oculaire : quasi-ophtalmoplégie complète dans toutes les positions du regard
Globes dépressibles, réductibles, non tendus
LAF : kératite ponctuée superficielle inférieure à droite, cornée fluorescéine négative à gauche. Segment antérieur calme profond avec cataracte débutante aux deux yeux.
PIO = 20 mmHg ODG
FO : normal aux deux yeux (pas d’œdème papillaire ni pâleur)
Ex général
Etat général précaire avec troubles cognitifs sévères séquellaires d’un AVP. Pas de contact possible. Tableau clinique évoquant un hypopituitarisme : dépilation, peau fine et très pâle, hypotonie et somnolence.
Ex complémentaires
Biologie
| Bilan hématologique
GB 5.6 |
Bilan métabolique
HbA1C 4.5% |
Bilan thyroïdien
T4L 14.1 pmol/l |
Bilan hépatique
ASAT 40 |
| Bilan rénal
Na+ 141 |
Bilan corticotrope
Temps T0 |
Bilan phosphocalcique
PTH 106 ng/l |
Bilan gonadotrope
FSH 0.9 |
Autres résultats biologiques
Troponine <17
BNP 69
IGF 1 10
ECG
rythme non sinusal et irrégulier à 71/min. QRS fins. Onde T plate de V1 à V6, onde T négative en D2 D3 AVF.
Echographie de la thyroïde
Lobe droit : 41*14*13 mm. Volume de 4.1 cc. Lobe gauche : 37*8*14 mm. Volume 2.4 cc. Pas de nodule.
Réflexes pour le DFASM
Évoquer l’orbitopathie dysthyroïdienne devant un tel tableau clinique.
Savoir analyser les axes hypophysaires.
Auteur
Sacha NAHON