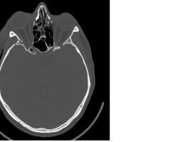
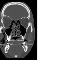
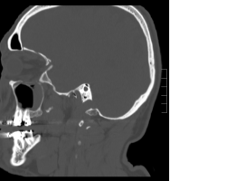
Observation
- TDM sans injection en coupes axiales, coronale et sagittale
Fracture du plancher orbitaire, du toit de l’orbite, de la paroi temporale. - Photos
Hématome péri-orbitaire droit avec plaie cutanée en regard du plancher de l’orbite. Pas de déficit sensitif du V2 droit. Pas d’incarcération du muscle droit inférieur cliniquement (pas de limitation à l’élévation du regard)




Histoire de la maladie
Patient de 56 ans venant après traumatisme orbitaire du côté droit (retour de clé à molettes en bricolant)
ATCD : aucun
TTT : aucun
Ex ophtalmo
Motilité oculaire : conservée, pas de diplopie binoculaire
LAF : cornée claire fluorescéine, tyndall hématique, chambre antérieure profonde, pas d’hyphéma, cristallin clair. OG RAS
PIO = 15 mmHg ODG
FO : rétine à plat, pas d’œdème rétinien
Ex général
Plaie superficielle en regard zygomatique, pas de visualisation osseuse, pas de déficit sensitif territoire du V2 homolatéral
Auteur
Sacha NAHON