Observation
Rétinophotographies des deux yeux
- OD : DMLA exsudative car drusen séreux confluant, contexte clinique (baisse d’acuité visuelle), altération de l’épithélium pigmentaire au niveau fovéa. Pas d’hémorragie visible. Ne demander de faire le diagnostic que si et seulement si l’OCT est montré
- OG : même constat que pour l’œil droit mais l’absence de plage d’atrophie et d’œdème maculaire à l’OCT permet de faire le diagnostic de MLA (maculopathie liée à l’âge).
OCT maculaire
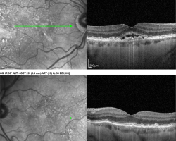
- OD : décollement séreux rétinien avec membrane néovasculaire visible (plutôt néovaisseau choroïdien visible). Pas de plage d’atrophie visible sur cette coupe, drusen sereux visibles
- OG : drusen visible, pas de signe exsudatif
- OCT-Angio : modalité d’OCT permettant de ne pas réaliser d’angiographie à la fluorescéine dans certains cas (ici fait le diagnostic de DMLA avec image typique de membrane néovasculaire visible)




Histoire de la maladie
Patiente de 81 ans (âgé) consultant pour baisse d’acuité visuelle à droite. Diagnostic de DMLA suspecté au FO, diagnostic de certitude est fait à l’angiographie à la fluorescéine normalement (ici fait uniquement grâce à l’OCT-angio mais limite hors programme)
Antécédents : cataracte non opérée
Traitements : non renseigné
Ex ophtalmo (non disponible)
Ex général (non disponible)
Ex complémentaires (non disponible)
Réflexes pour le DFASM
A faire en urgence = angiographie à la fluorescéine pour faire le diagnostic de certitude et injections intravitréennes d’anti-VEGF (ranibizumab ou aflibercept) (même si tableau typique, se discute quant à sa réalisation entre ophtalmologistes mais pas au niveau DFSAM)
Auteur
Sacha NAHON