Observation
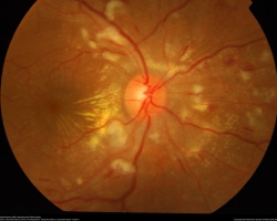
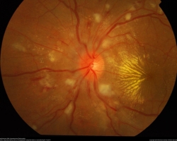
- Rétinophotographies des deux yeux : œdème papillaire à gauche, nodules cotonneux péripapillaires, hémorragies en flammèche, exsudats secs de résorption et étoile maculaire bilatérale
Histoire de la maladie
Patient de 25 ans consultant pour céphalées et baisse d’acuité visuelle de l’œil gauche. Acuité visuelle mesurée à 10/10 à droite et 1,5/10 à gauche. Découverte d’une hypertension artérielle sévère (cause secondaire).
ATCD : non renseigné
TTT : non renseigné
Ex ophtalmo (non disponible)
Ex général (non disponible)
Ex complémentaires (non disponible)
Réflexes pour le DFASM
Conduite à tenir en urgence à la découverte d’une rétinopathie hypertensive : témoigne de la sévérité du tableau et de la nécessité de rechercher une cause secondaire à l’hypertension
Auteur
This image was originally published in the Retina Image Bank. Dipankar Barua. Photographer. Papilloedema With Hypertensive Retinopathy. Retina Image Bank. 2014; Image 16552/16554. © the American Society of Retina Specialists.

