Observation
- Rétinophotographies des deux yeux
- OD : OACR avec persistance d’un territoire perfusé par existence d’une artère cilio-rétinienne (variante anatomique). Œdème rétinien diffus sur les territoires occlus, avec image rouge cerise de la macula, rétrécissement diffus du calibre vasculaire des territoires occlus.
- OG : fond d’œil normal
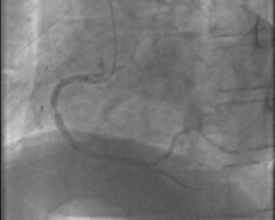
- Coronarographie : sténose coronaire droite moyenne
Histoire de la maladie
Patient de 67 ans consultant en urgence pour baisse d’acuité visuelle de l’œil droit de survenue brutale sans douleur ni rougeur (juillet 2018). Diagnostic d’OACR fait en ophtalmologie amenant à effectuer un bilan d’AVC. Le patient est transféré au caisson hyperbarre (protocole de recherche clinique sur les OACR) et développe une douleur thoracique lors d’une séance. Un ECG est réalisé en urgence avec diagnostic d’un SCA ST- en cours de constitution. Arrêt de la séance et transfert en cardiologie pour coronarographie qui montre une resténose significative de la coronaire droite moyenne au niveau d’un ancien stent coronaire posé en 2015. Il a bénéficié d’une angioplastie avec implantation d’un stent actif. Les suites de procédure sont simples et sans complication.
ATCD : HTA, dyslipidémie, tabagisme actif, coronarien (coronaropathie stentée sur l’artère coronaire droite moyenne en 2015)
TTT : antiagrégant plaquettaire, statine, oméprazole
Ex ophtalmo
AV = perception lumineuse à droite, 10/10 à gauche
LAF : segment antérieur calme profond avec cataracte nucléaire débutante.
PIO = 16 mmHg ODG
FO : cf. images jointes
Ex général
Aucune douleur thoracique. Tension artérielle 136/76mmHg. Fréquence cardiaque 60/min. Bruits du cœur réguliers. Souffle systolique éjectionnel aortique. Pas de signe d’insuffisance cardiaque. Pas de signes cliniques en faveur d’une artérite à cellules géantes (ex-maladie de Horton) = pas d’amaigrissement, pas d’hyperesthésie du cuir chevelu, pas de claudication intermittente de la mâchoire.
Ex complémentaires
- AngioTDM cérébral + TSAo
- Au niveau encéphalique : pas de lésion ischémique constituée récente ou séquellaire. Pas de saignement intracrânien. Structures médianes en place. Pas d’effet de masse.
- TSAo : surcharge athéromateuse calcifiée de la crosse de l’aorte avec notamment au niveau de l’ostium de l’artère vertébrale gauche, qui apparait sténosé à 50% au niveau d’une plaque. Par ailleurs, sténose inférieure à 50% des bulbes carotidiens avec surcharge calcifiée marquée mais bonne perméabilité d’aval. Surcharge calcifiée de la portion V4 de l’artère vertébrale gauche avec une sténose évaluée entre 50 et 60%. Surcharge sans sténose significative des siphons carotidiens. En intracrânien, pas de lésion anévrismale de plus de 2mm ou sténose significative mise en évidence. Pas de thrombose veineuse intracrânienne. Pas d’anomalie des parties molles cervicales. Pour mémoire, arthrodèse antérieure C4 – C5.
- Conclusion : surcharge athéromateuse calcifiée marquée sans sténose supérieure à 70%, prédominant au niveau des bulbes carotidiens, de l’ostium de la vertébrale gauche et de la portion V4 gauche. Pas de lésion neurologique constituée.
- ECG : rythme sinusal à 60/min avec sous décalage du segment ST en inféro-latéral (non disponible). Une troponine est dosée dans ce contexte, elle est positive à 138ng/l.
- Echographie cardiaque trans-thoracique : fraction d’éjection VG conservée, sans trouble de la cinétique segmentaire. Hypertrophie ventriculaire gauche concentrique. Rétrécissement aortique non serré. Aorte ascendante non dilatée. Insuffisance mitrale grade II. Pressions de remplissage basses. Oreillette gauche non dilatée. VD non dilaté, normokinétique. Pas d’HTAP. Péricarde sec.
- Biologie : pic de troponine ultra-sensible à 221ng/l. BNP : 322pg/ml. CRP : 31mg/l. Potassium : 3,8mmol/l. Créatinine : 85µmol/l ce qui fait une clairance à 82ml/min. Bilan lipidique : cholestérol total : 1,6g/l ; triglycérides : 1,4g/l ; HDL cholestérol : 0,4g/l ; LDL cholestérol : 0,9g/l. Hémoglobine : 13,6g/dl. Globules blancs : 7 700. Plaquettes : 187 000.
- Coronarographie : resténose significative intra stent de la droite moyenne.
Réflexes pour le DFASM
Prise en charge de l’OACR comme une urgence neuro-vasculaire
Eliminer l’artérite à cellules géantes
Prise en charge du SCA (dossier transversal cardiologie & ophtalmologie)


