Observation
- Rétinophotographies des deux yeux
- OD : OACR avec persistance de deux territoires perfusés (un en maculaire, l’autre en nasal) par existence de deux artères cilio-rétiniennes qui dépendent d’artères ciliaires courtes postérieures (variante anatomique). Œdème rétinien diffus sur les territoires occlus, pas d’image rouge cerise de la macula, rétrécissement diffus du calibre vasculaire des territoires occlus avec visualisation d’un courant granulaire. A noter l’existence d’un naevus choroïdien bénin en inférieur, à la limite du champ (hors programme)
- OG : fond d’œil normal
- Angiographie à la fluorescéine
- Retard de remplissage artériel (1min26 et 2min24) sauf au niveau des artères cilio-rétiniennes à droite
- Remplissage normal à gauche
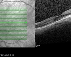
- OCT (Optical Coherence Tomography ou encore tomographie par cohérence optique)
- Épaississement des couches internes de la rétine sur le profil fovéolaire à droite
- Profil fovéolaire normal à gauche







Histoire de la maladie
Patiente de 77 ans consultant en urgence pour baisse d’acuité visuelle de l’œil droit qui est blanc et indolore. Diagnostic d’OACR avec persistance d’une vascularisation de deux territoires rétiniens par existence de deux artères cilio-rétiniennes. Pas de signes cliniques en faveur d’une artérite à cellules géantes (pas d’amaigrissement, pas d’hyperesthésie du cuir chevelu, pas de claudication intermittente de la mâchoire). Adressé en urgence pour bilan d’AVC et réalisation VS-CRP.
ATCD : migraines, hernie hiatale, chirurgie de varices, phlébite, canal lombaire étroit, hypertonie oculaire
TTT : paracétamol, lyrica, oméprazole
Ex ophtalmo
AV = voit bouger la main à droite, 7/10 P2 à gauche
LAF : segment antérieur calme profond avec implants de chambre postérieure.
PIO = 16 mmHg ODG
FO : cf. images jointes
Ex général (non disponible)
Ex complémentaires (non disponible)
Réflexes pour le DFASM
Conduite à tenir en urgence à la découverte de l’OACR =
- Diagnostic : FO, bilan neurovasculaire, éliminer une artérite à cellules géantes (VS-CRP)
- Thérapeutique : pas de traitement de l’OACR, discuter l’introduction d’un antiagrégant plaquettaire en prévention secondaire