Observation
- Rétinophotographies des deux yeux
- OD : hémorragie rétinienne en flammèche qui témoigne d’une hypertension artérielle décompensée
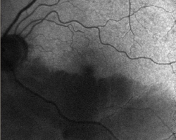
- OG : OBACR inférieure avec œdème rétinien inférieur qui épargne la fovéa sur sa partie supérieure. Rétrecissement du calibre artériel des vaisseaux inférieurs
- Images en autofluorescence et infrarouge du FO OG : perte la fluorescence et du reflet normal de la partie inférieure de la rétine
- Périmétrie cinétique (de Goldman) : scotome altitudinal supérieur à gauche, champ visuel normal à droite
Histoire de la maladie
Patiente de 79 ans adressé par son ophtalmologiste traitant pour survenue depuis la veille d’une amputation du champ visuel supérieur de l’œil gauche. Diagnostic d’OBACR inférieure gauche. Pas de signes cliniques en faveur d’une artérite à cellules géantes = pas d’amaigrissement, pas d’hyperesthésie du cuir chevelu, pas de claudication intermittente de la mâchoire. Bilan équivalent à celui d’une OACR. Nécessité absolue d’effectuer une VS-CRP pour éliminer une artérite à cellules géantes chez cette patiente (éliminé car aucun signe clinique et VS-CRP négative).
ATCD : cancer du sein bilatéral, cancer du rectum avec radiochimiothérapie néoadjuvante et chirurgie et chirurgie cataracte des deux yeux
TTT : non renseigné
Ex ophtalmo
AV = 10/10 aux deux yeux mais scotome altitudinal supérieur à gauche
LAF : segment antérieur calme profond avec implants de chambre postérieure.
PIO = 16 mmHg ODG
FO : cf. images jointes
Ex général (non disponible)
Ex complémentaires (non disponible)
Réflexes pour le DFASM
- Diagnostic : FO, bilan neurovasculaire, éliminer une artérite à cellules géantes (VS-CRP)
- Thérapeutique : pas de traitement de l’OACR, discuter l’introduction d’un antiagrégant plaquettaire en prévention secondaire





