Observation
- Rétinophotographies des deux yeux
- OD : œdème papillaire avec hémorragies
- OG : FO normal
- Périmétrie cinétique : scotome caeco-central bilatéral prédominant à droite
- OCT maculaire : œdème maculaire de contiguité avec l’œdème papillaire du côté droit. Profil fovéolaire normal à gauche.
- Angiographie fluorescéine : papillite à droite, normal à gauche
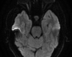
- IRM cérébro-orbitaire : névrite OD, normal à gauche
Histoire de la maladie
Patient de 38 ans, gaucher, responsable de chantier, vivant seul à domicile, 3 enfants en bonne santé, consulte devant une baisse d’acuité visuelle de l’œil droit survenue depuis une dizaine de jours, d’aggravation rapidement progressive. Ce tableau a débuté par des douleurs rétro-orbitaires de l’œil droit. Bilan clinique en ophtalmologie (cf. infra).
Bilan paraclinique :
- Angiographie fluorescéinique, OCT et périmétrie cinétique (cf. supra). Pour information : pas de déficit de l’OCT RNFL à gauche (non interprétable à droite du fait de l’œdème papillaire). Pas de déficit de la couche des cellules ganglionnaires à gauche (liée probablement à une poussée de névrite gauche ancienne ou présence de lésion démyélinisante en rétrochiasmatique vu la congruence du déficit du champ visuel des deux yeux).
- IRM cérébro-orbitaire : présence de quelques hypersignaux FLAIR de la substance blanche sous corticale au niveau frontal bilatéral peu spécifiques. Absence de rehaussement pathologique au niveau parenchymateux ou méningé après injection de sel de Gadolinium. Les structures médianes sont en place. Pas d’anomalie de la filière ventriculaire. Aspect perméable des veines intracrâniennes après injection de sel de Gadolinium. Aspect épaissi, en hypersignal T2, et rehaussé du nerf optique droit dans sa portion intra orbitaire compatible avec une névrite.
Conclusion : Névrite orbitaire droite. Quelques hypersignaux FLAIR de la substance blanche au niveau sus-tentoriel frontal bilatéral peu spécifiques. (Oriente vers une ancienne poussée de névrite à gauche)
Prise en charge en neurologie avec bilan sanguin, ponction lombaire et PEV. Aura secondairement une cure de corticoïdes par voie intraveineuse.
ATCD : tabagisme actif 30 PA
TTT : aucun
Ex ophtalmo
AV : 1/20e à droite, 7/10e à gauche
LAF : DPAR à droite, cornée claire, chambre antérieure calme profonde, cristallin clair
PIO : 16 mmHg ODG
FO : cf. images jointes
Ex général
Patient normotendu, apyrétique, douleurs rétro-orbitaires droites évaluées à 5/10. Absence d’anomalie cutanéo-muqueuse, pas de syndrome sec notamment, absence d’anomalie retrouvée sur les plans rhumatologique, cardio-vasculaire et pneumologique.
Sur le plan neurologique :
- Paires crâniennes : doute sur hypoesthésie du territoire V1 droite.
- Fausses routes aux liquides, 3 à 4 fois par mois environ. Pas d’anomalie par ailleurs.
- Absence de déficit moteur, pas de syndrome pyramidal.
- Hypoesthésie hémicorporelle droite, absence de niveau sensitif retrouvé.
- Signe de Lhermite présent
- Absence de réflexes cutanés abdominaux aux 3 étages
| BIOCHIMIE SANG | |
| CRP
Sodium Potassium Chlorures Bicarbonates mesurés Trou anionique Protéines totales Calcium total Glucose Urée Créatinine CKD-EPI Osmolalité calculée Bilirubine totale Bilirubine conjuguée Bilirubine non conjuguée LDH ASAT (Transa.TGO) ALAT (Transa.TGP) Gamma-GT Phosphatase alcaline Vitamine B12 Folates ECA |
0.7 mg/l
139 mmol/l 4.39 mmol/l 102 mmol/l 26 mmol/l 11 mmol/l 75 g/l 2.40 mmol/l 0.94 g/l 5.2 mmol/l 60 µmol/l 121 ml/mn/1.73m2 297 mOsmol/kg 9 µmol/l 3 µmol/l 6 µmol/l 425 U/l 24 U/l 33 U/l 19 U/l 74 U/l 411 pg/ml 5.5 ng/ml 21 UI/l |
| BIOCHIMIE – URINES | |
| Protéines totales urinaires
Protéinurie/créatininurie Créatinine urinaire |
0.19 g/l
0.11 g/g 15.36 mmol/l |
| Numération Formule Sanguine | |
| Taux de Prothrombine
Temps de Quick Temps témoin du TQ TCA Temps de CA Fibrinogène Leucocytes Erythrocytes Hémoglobine Hématocrite Volume globulaire moyen TCMH CCMH Plaquettes Neutrophiles Eosinophiles Basophiles Lymphocytes Monocytes VS : 1ère heure |
97 %
11.5 s 11.4 s 30.1 s 0.96 3.05 g/l 8.4 x10*9/l 5.44 x10*12/l 16.5 g/dl 0.49 l/l 90.4 fl 30.3 pg 33.5 g/dl 191 x10*9/l 5.6 x10*9/l 0.2 x10*9/l 0.0 x10*9/l 1.8 x10*9/l 0.8 x10*9/l 1 mm |
| VIROLOGIE SANG | |
| Elisa VIH
Ag HBs AC HBs AC HBc séro VHC Syphilis : test tréponémique Sérologie Herpes 1,2 CMV IgG CMV IgM EBV VCA IgG EBV EBNA IgG Sérologie Lyme IgG Serologie Lyme IgM Serologie M.pneumoniae IgG Serologie M.pneumoniae IgM Sérologie Légionelle Séro dépistage Brucellose Séro Rickettsia conorii Séro Coxiella Burnetti |
négatif
négatif négatif négatif négatif négatif positif positif négatif positif positif négatif négatif négatif négatif négatif négatif négatif IgG positif, IgM négatif |
| HORMONOLOGIE SANG | |
| TSH Ultra Sensible
T4 Libre Anticorps Anti TPO Ferritine METABOLISME PHOSPHO – CALCIQUE 25 Hydroxy Vitamine D |
1.016 mUI/l
14.7 pmol/l 35.7 U/ml 76 µg/l
19.4 ng/ml (insuffisance) |
| PONCTION LOMBAIRE | |
| · BIOCHIMIE :
Protéines totales (LCR) Glucose (LCR) Chlorures (LCR) · BACTERIOLOGIE Aspect limpide Hématies Leucocyte Germe Culture · IMMUNOLOGIE : Anticorps anti-nucléaires Cryoglobulinémie |
0.53 g/l 3.70 mmol/l 124 mmol/l
105/ mm³ 2/mm³ Aucun Négative
Négatifs Négative |
Potentiels Evoqués Visuels
- OD : Latence = 138 ms et Amplitude = 0,65 µV (diminution des amplitudes +++)
- OG : Latence =122,3 ms et Amplitude = 3,51 µV
Réflexes pour le DFASM
Conduite à tenir en urgence à la découverte de l’œdème papillaire droit
- Diagnostic : périmétrie cinétique, imagerie cérébrale en urgence (IRM de préférence, sinon TDM àfait en 1erlieu en urgence)
- Thérapeutique : la question de la corticothérapie intraveineuse est posée mais devant un tableau de névrite optique atypique (champ visuel, âge, sexe), nécessité de documenter avant tout traitement pour éliminer une cause secondaire (infectieuse notamment).














