Observation
- Rétinophotographies des deux yeux : œdème papillaire bilatéral majeur en faveur HTIC
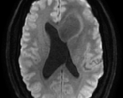
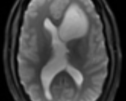
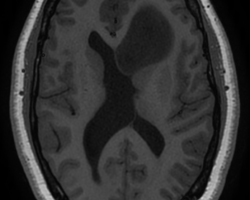
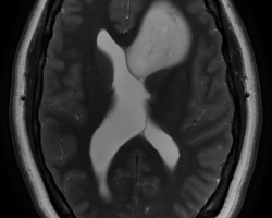
- IRM : coupes axiales, séquences en diffusion B1000, perfusion, T1 et T2 : tumeur hypoT1, hyperT2, peu de diffusion = peu d’œdème, localisation plutôt frontale. Pas de prise de contraste (pas de cliché ici = à compléter) Compte tenu de l’âge, évocateur d’un gliome bas grade. De ce fait, rechercher une comitialité avant tout geste chirurgical.






Histoire de la maladie
Patiente de 31 ans consulte pour baisse d’acuité visuelle de l’œil droit avec éclipses visuelles brèves et photopsies dans un contexte de céphalées persistantes depuis 3 semaines. Rapporte également diplopie binoculaire. L’interrogatoire ne retrouve pas de nausée ni vomissement. Elle est ambidextre à prédominance droite, mère de trois enfants, elle présenterait des troubles de l’humeur et du comportement depuis plusieurs mois. Un bilan orthophonique et neuropsychologique confirme les constatations du mari avec des troubles de l’attention et de la mémoire de travail.
Bilan paraclinique
EEG : pas de crise d’épilepsie
IRM : lésion basifrontale gauche développée aux dépens du gyrus rectus qui remonte vers l’hypothalamus comprimant les foramens de Monro induisant une probable hydrocéphalie obstructive. Pas de prise de contraste mais séquences en perfusion non exploitables.
ATCD : G3P3, péritonites appendiculaires (x3), obésité (1m73 pour 95Kg)
TTT : aucun
Ex ophtalmo
AV = 10/10 ODG
LAF : segment antérieur calme profond avec cristallin clair.
PIO = 15 mmHg
FO : cf. images jointes
Parésie du VI droit (non localisatrice)
Ex général (non disponible)
Ex complémentaires (non disponible)
Traitement par SOLUPRED et DIAMOX permettant de contrôler l’HTIC. Chirurgie d’exérèse par la suite. L’anatomopathologie est en faveur d’un astrocytome infiltrant IDH muté, grade II OMS, perte d’expression de MGMT, cMET négatif, EGFR fortement positif (= gliome bas grade). Dans les suites, reliquat tumoral sous surveillance clinico-radiologique avec croissance différée puis contrôle sous chimiothérapie PCV (6 cycles).
Réflexes pour le DFASM
Conduite à tenir en urgence à la découverte de l’œdème papillaire
- Diagnostic : périmétrie cinétique, imagerie cérébrale en urgence (IRM de préférence, sinon TDM fait en 1er lieu en urgence)
- Thérapeutique : corticoïde et acétazolamide, mannitol ici ne sera pas utile car mécanisme obstructif entrainant l’HTIC.