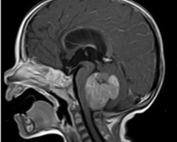
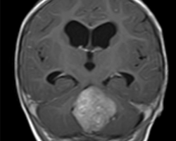
Un enfant de 6 ans est emmené par ses parents aux urgences pédiatriques pour des vomissements incoercibles. L’enfant se plaint depuis plusieurs semaines de céphalées, mal soulagées par la prise de paracétamol.


Un enfant de 6 ans est emmené par ses parents aux urgences pédiatriques pour des vomissements incoercibles. L’enfant se plaint depuis plusieurs semaines de céphalées, mal soulagées par la prise de paracétamol.


La gonarthrose est l’arthrose du genou. La gonarthrose est de loin l’étiologie la plus fréquente d’une douleur du genou après 50 ans. […]
Faculté de Médecine - Département IRIS - Laboratoire RETINES - Université Côte d'Azur