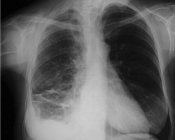
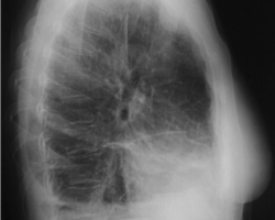
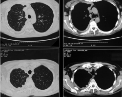
Femme de 65 ans
ATCD : tabagisme sevré, néo du sein droit traité par chirurgie et radiothérapie, exposition à l’amiante
Douleurs thoraciques droites + dyspnée d’effort + toux sèche
Abolition du murmure vésiculaire de la base droite + perte de poids



