25 mai 2026

GeReMI

Gestion des Ressources Multimedia pour l'Internat

  • Accueil
  • Contributions
Mises à jour
  • [ 31 décembre 2019 ] Glioblastome 296. Tumeurs intracrâniennes
  • [ 31 décembre 2019 ] QI1-Item 338 296. Tumeurs intracrâniennes
  • [ 31 décembre 2019 ] QI1-Item 98 98. Céphalée aiguë et chronique chez l'adulte et l'enfant
  • [ 31 décembre 2019 ] QI2-Item 275 275. Ictère
  • [ 31 décembre 2019 ] QI1-Item 275 275. Ictère
  • [ 31 décembre 2019 ] QI1-Item 337 296. Tumeurs intracrâniennes
  • [ 20 juillet 2019 ] Cas Clinique QCM n°1 322. Identification et gestion des risques liés aux médicaments et aux biomatériaux, risque iatrogène, erreur médicamenteuse
  • [ 15 juillet 2019 ] ECNi 2016. Question isolée n°15 295. Tumeurs de la cavité buccale, naso-sinusiennes et du cavum, et des voies aérodigestives supérieures
  • [ 15 juillet 2019 ] ECNi 2016. Question isolée n°14 295. Tumeurs de la cavité buccale, naso-sinusiennes et du cavum, et des voies aérodigestives supérieures
  • [ 15 juillet 2019 ] ECNi 2016. Question isolée n°85 229. Électrocardiogramme : indications et interprétations
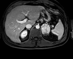
AccueilCancérologie - Onco-hématologie308. Tumeurs du reinTumeur des glandes surrénales

Tumeur des glandes surrénales

11 novembre 2017 308. Tumeurs du rein
  • Image radiologique
Précédent

Tumeur de la langue

Suivant

Tumeur de la vessie

Sur le même thème

233. Péricardite aiguë

Epanchement péricardique

11 novembre 2017 233. Péricardite aiguë
90. Déficit moteur et/ou sensitif des membres

Hernie discale

26 janvier 2018 90. Déficit moteur et/ou sensitif des membres, 91. Compression médullaire non traumatique et syndrome de la queue de cheval, 92. Rachialgie, 93. Radiculalgie et syndrome canalaire
Pas d'image
203. Opacités et masses intra-thoraciques chez l'enfant et chez l'adulte

Opacité paratrachéale

26 janvier 2018 203. Opacités et masses intra-thoraciques chez l'enfant et chez l'adulte, 306. Tumeurs du poumon, primitives et secondaires, 316. Lymphomes malins

Recherche

  • Par discipline

  • Par item du programme

  • Par type de contenu

  • Par item ou expression

Faculté de Médecine - Département IRIS - Laboratoire RETINES - Université Côte d'Azur

Nous utilisons des cookies pour vous garantir la meilleure expérience sur notre site web. Si vous continuez à utiliser ce site, nous supposerons que vous en êtes satisfait.