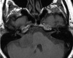
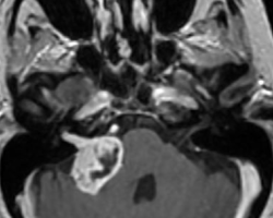
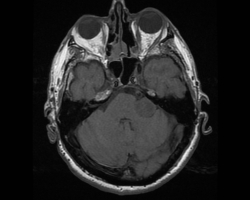
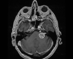
Un homme de 55 ans, n’ayant aucun antécédent personnel est envoyé pour réaliser une IRM par son ORL pour exploration d’acouphènes associés à une hypoacousie droite ainsi que des vertiges et une paralysie faciale périphérique droite d’apparition récente.



