







L’arthrose de hanche ou coxarthrose est une maladie fréquente, consistant en une lésion de l’articulation de la hanche, cartilage et os, d’origine mécanique. […]
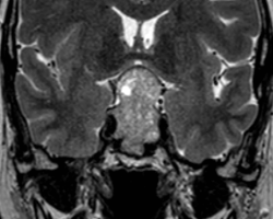
Un homme de 55 ans, n’ayant aucun antécédent personnel est envoyé pour réaliser une IRM par son ORL pour exploration d’acouphènes associés à une hypoacousie droite ainsi que des vertiges et une paralysie faciale périphérique droite d’apparition récente. […]
Faculté de Médecine - Département IRIS - Laboratoire RETINES - Université Côte d'Azur