



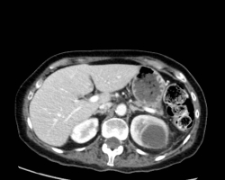
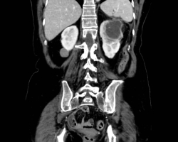
Les syndromes occlusifs, définis par l’arrêt complet du transit intestinal, regroupent quatre signes cliniques élémentaires : l’arrêt des matières et des gaz, les vomissements, la douleur et le météorisme abdominal, d’expression variable selon l’étiologie. […]
Faculté de Médecine - Département IRIS - Laboratoire RETINES - Université Côte d'Azur