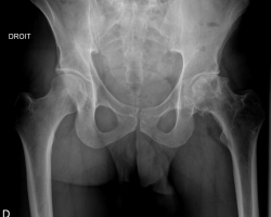
La coxarthrose, ou arthrose de la hanche, est une des arthroses les plus fréquente, juste après celle du genou. C’est aussi l’une des causes les plus fréquentes de douleur et d’incapacité fonctionnelle chez les sujets de 55 ans et plus. Sa prévalence augmente en effet avec l’age avec une légère prédominance féminine après 50 ans.
