Observation
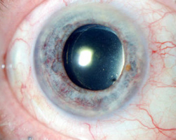
Photographies de l’œil droit à la lampe à fente : rubéose irienne avec glaucome néovasculaire sur pathologie ischémique rétinienne périphérique (non renseignée, probablement par occlusion de la veine centrale de la rétine dépassée)



Histoire de la maladie
Patient de 55 ans consultant pour une baisse d’acuité visuelle récente de l’œil gauche. Acuité visuelle mesurée à 3/10 à gauche. Probable œdème maculaire (OCT maculaire non disponible) nécessitant des injections intravitréennes d’anti-VEGF.
ATCD : non renseigné
TTT : non renseigné
Ex ophtalmo (non disponible)
Ex général (non disponible)
Ex complémentaires (non disponible)
Auteur
This image was originally published in the Retina Image Bank. Jason S. Calhoun. Photographer. Central Retinal Vein Occlusion. Retina Image Bank. 2014; Image 7347/7348/7349. © The American Society of Retina Specialists.