
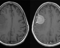
Méningiome


L’arthrose de hanche ou coxarthrose est une maladie fréquente, consistant en une lésion de l’articulation de la hanche, cartilage et os, d’origine mécanique. […]
Faculté de Médecine - Département IRIS - Laboratoire RETINES - Université Côte d'Azur