Sur le même thème

223. Artériopathie oblitérante de l'aorte, des artères viscérales et des membres inférieurs ; anévrysmes
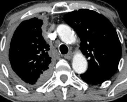
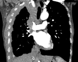
Thrombose de l’aorte
2 août 2017
223. Artériopathie oblitérante de l'aorte, des artères viscérales et des membres inférieurs ; anévrysmes

351. Appendicite de l'enfant et de l'adulte
Appendicite

146. Angines de l'adulte et de l'enfant et rhinopharyngites de l'enfant